Dirsek Çıkığı Nedir?
Yazar: Op. Dr. Ayşe Övül Erdoğan
Kategoriler:
Dirsek Çıkığı Nedir?
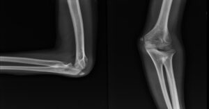
Önkol kemiklerinin dirsek eklemindeki ayrılarak yer değiştirmesiyle oluşur. Dirsek; üst kolda bulunan humerus ile ön koldaki radius ve ulna kemiklerinden oluşur. Bu üç kemiğin uyum içinde hareket etmesini sağlayan güçlü bağlar, kapsül yapıları ve kaslar bulunur. Travma sonucu bu uyum bozulduğunda eklem bütünlüğü kaybolur ve çıkık meydana gelir. Bu noktada birçok kişi dirsek çıkığı nedir? sorusunu merak eder, çünkü yaralanma anında ortaya çıkan ağrı, şişlik ve şekil bozukluğu oldukça belirgindir.
Yazı İçeriği
Dirsek Çıkığı Nedir? Belirtileri Ve Nedenleri
Dirsek eklemini oluşturan kemiklerin doğal hizasından ayrılmasıyla oluşan bir yaralanmadır. Dirsek, günlük hayatta sık kullanılan bir eklemdir. Bu nedenle düşme veya ani bir darbe sonrası kolayca zarar görebilir.
Belirtiler çoğu zaman hemen ortaya çıkar. Dirsek çıkığı, şiddetli ağrıya ve belirgin bir hareket kısıtlılığına yol açar. Eklemin şekli bozulur. Şişlik hızla artar. Bazen parmaklarda uyuşma ya da soğukluk hissi görülebilir. Bu işaretlerin tümü acil değerlendirmeyi gerektirir.
Nedenler genellikle travmadır. Spor sırasında düşmek, dirseğe gelen sert bir darbe ya da kolun ani şekilde çekilmesi çıkığa sebep olabilir. Çocuklarda yüksekten düşme, yetişkinlerde ise spor ve trafik kazaları daha sık rastlanan durumlardır. Eklem yapısının zayıf olması da riski artırabilir.
Sonuç olarak, dirsek çıkığı erken müdahale gerektiren bir ortopedik acildir. Tedavi gecikirse eklemde kalıcı hareket kısıtlılığı gelişebilir. Bu nedenle hızlı ve doğru tedavi önemlidir. Çoğu hasta, uygun sabitleme ve fizik tedaviyle kısa sürede günlük yaşamına dönebilir.
Dirsek Çıkığı Kimlerde Görülür ?
Dirsek eklemi, günlük yaşamda sık kullanılan ve çeşitli hareketlerde aktif rol alan bir yapıdır. Bu nedenle travmaya açık bir eklemdir. Her yaşta görülebilen bu yaralanma, bazı gruplarda çok daha yaygın ve risklidir. Yaş, kemik yapısı, kas gücü ve günlük alışkanlıklar bu riski etkiler.
Çocuklar risk grubunun başında gelir. Eklemleri daha esnektir ve düşmeler bu yaşlarda daha sık yaşanır. Yaşlı bireylerde ise kemik yoğunluğu azalır ve denge sorunları görülebilir. Spor yapan kişilerde temas ve düşme ihtimali yüksek olduğu için yaralanma riski artar. Bu nedenle dirsek çıkığı, özellikle sporcularda, çocuklarda ve yaşlılarda daha sık karşılaşılan bir durumdur.
Eklem yapısında doğuştan gevşeklik bulunan kişiler de risk altındadır. Bağ dokularının zayıf olması, eklemin normalden daha kolay yerinden oynamasına zemin hazırlar. Ayrıca ağır işlerde çalışan kişiler gün boyunca dirsek bölgesine yüksek yük uygular. Bu da eklemi daha hassas hale getirir ve yaralanma ihtimalini artırır.
Trafik kazaları, iş kazaları ya da yüksekten düşmeler gibi travmalar toplumun her kesiminde görülebilir. Bu nedenle dirsek çevresinde ani ağrı, şişlik ya da hareket kısıtlılığı oluşabilir. Böyle bir durumda gecikmeden ortopedik değerlendirme almak çok önemlidir. Erken tanı ve doğru tedavi, iyileşme sürecini hızlandırır ve eklem fonksiyonlarını korur.
Dirsek Çıkığı Tedavi Yöntemleri Nelerdir?
Eklemin doğal hizasının bozulmasıyla ortaya çıkan bu yaralanma ciddi sonuçlar doğurabilir. Özellikle dirsek çıkığı söz konusu olduğunda hızlı ve doğru bir tedavi gerekir. Yaralanma yalnızca kemikleri etkilemez; bağlar, kaslar ve hatta damar yapıları da zarar görebilir. Bu nedenle tedavi yaklaşımı, hasarın boyutuna ve eklemin ne kadar etkilendiğine göre şekillenir. Erken müdahale her zaman daha iyi sonuç verir ve iyileşme sürecini kısaltır.
Tedavinin ilk basamağı eklemin yerine oturtulmasıdır. Bu işleme kapalı redüksiyon adı verilir. Hekim, kontrollü bir manevra ile kemikleri doğal pozisyonuna getirir. İşlem kısa sürer ve çoğu kişi eklem yerine oturduğunda ağrının hızla azaldığını hisseder. Bu aşamanın doğru uygulanması önemlidir. Yanlış bir manevra, eklemde kalıcı bir hasara yol açabilir.
Eklemin yerine oturtulmasından sonra dirsek bir süre sabitlenir. Bunun için genellikle atel ya da alçı kullanılır. Sabitleme süresi, yaralanmanın derecesine göre belirlenir. Eklemi çok uzun süre hareketsiz tutmak, ileride sertliğe ve hareket kaybına neden olabilir. Bu nedenle sabitleme süreci dikkatle planlanır. Hekim, uygun zamanda harekete geçilmesi için yönlendirme yapar.
Bazı hastalarda cerrahi tedavi gerekebilir. Bağ kopmaları, büyük kırıklar veya eklem stabilitesini bozan durumlar ameliyatı zorunlu hale getirir. Cerrahi sonrası rehabilitasyon süreci oldukça önemlidir. Fizik tedavi, eklemin hareket açıklığını artırır ve çevre kasları güçlendirir.
Sonuç olarak tedavi, doğru pozisyonlama, uygun sabitleme ve düzenli fizik tedavi ile başarıya ulaşır. Doğru yönetilen bir süreçle çoğu hasta kısa sürede günlük yaşamına dönebilir.
Dirsek Çıkığı Tedavi Sonrası Süreç Nasıldır ?
Çıkık sonrası tedavi tamamlandığında iyileşme süreci hemen başlamaz. Bu dönem, dikkat ve düzenli takip gerektirir. Çünkü eklem; travma, sabitleme süresi ve kas zayıflığı gibi etkenlerden dolayı bir süre hassas kalır. Tedavi sonrası süreç, hastanın yaşam kalitesini belirleyen en kritik aşamalardan biridir.
İyileşmenin ilk bölümünde eklemin korunması esastır. Atel çıkarıldıktan sonra dirsekte hafif bir sertlik oluşabilir. Bu durum normaldir. Eklem uzun süre hareketsiz kaldığı için çevresindeki kaslar zayıflamıştır. Bu nedenle erken dönemde ağır yük kaldırmak, itme veya çekme hareketleri yapmak doğru değildir. Hekim, bu dönemde hastaya kontrollü bir hareket planı önerir.
Fizik tedavi sürecin temelini oluşturur. Hareket açıklığını artırmak için basit eklem egzersizleri ile başlanır. Daha sonra kasları güçlendiren çalışmalar eklenir. Bu egzersizler düzenli yapıldığında dirsek fonksiyonları eski haline döner. Rehabilitasyon süresi, yaralanmanın şiddetine ve kişinin eklem yapısına göre değişir. Bazı hastalar kısa sürede toparlanırken bazıları daha uzun bir programa ihtiyaç duyabilir. Düzenli kontroller de bu dönemin ayrılmaz bir parçasıdır.
Uzun vadede ise eklemin stabilitesini korumak önemlidir. Hastanın tekrar benzer bir yaralanma yaşamaması için kaslarını güçlendirmeye devam etmesi gerekir. Ayrıca ani hareketlerden veya yüksek riskli sporlardan bir süre uzak durmak iyileşmeyi destekler. Tüm bu süreç bir araya geldiğinde, tedavinin doğal bir devamı olarak eklem sağlığı yeniden kazanılır. Son aşamada birçok hasta, bu sürecin aslında dirsek çıkığı nedir? sorusunun iyileşme yönündeki cevabı olduğunu fark eder.





