Dirsek Çıkığı Tedavisi
By: Dr. Ayşe ÖVÜL ERDOĞAN
Kategoriler:
Dirsek Çıkığı Tedavisi
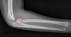
Dirsek çıkığı, dirsek ekleminde kemiklerin normal pozisyonundan kayması sonucu oluşur. Bu durum ciddi bir yaralanmadır. Dirsek çıkığı, genellikle travmalar sonucu meydana gelir. Bu durum genellikle düşme, spor yaralanmaları veya trafik kazaları sonucunda oluşur. Ani travmalar da dirsek çıkığına yol açabilir. Dirsek Çıkığı Tedavisi zamanında yapılmadığında sinir ve damar hasarına yol açabilir.
Yazı İçeriği
Dirsek Çıkığı Tedavisi Kimler İçin Uygundur ?
Dirsek çıkığı, dirsek ekleminde kemiklerin normal pozisyonundan kaymasıyla oluşur. Bu durum ciddi bir yaralanmadır. Genellikle bu durum düşme, spor kazaları veya trafik kazaları sonucu meydana gelir. Ani travmalar da dirsek çıkığına yol açabilir. Bu tür yaralanmalar ciddi komplikasyonlara yol açabileceği için doğru tedavi büyük önem taşır. Dirsek çıkığı tedavisi, her yaş grubundan ve farklı sağlık durumlarından bireyler için uygulanabilir.
Aktif yaşam süren gençler ve sporcular, eklem fonksiyonlarını hızlı bir şekilde geri kazanabilir. Yaşlı bireylerde osteoporoz veya eklem zayıflığı gibi durumlar mevcutsa, tedavi uygulanır. Bu tedavi eklem sağlığını korumak ve yaşam kalitesini artırmak için önemlidir.
Tedavi süreci genellikle birkaç aşamadan oluşur. İlk aşama, çıkığın yerine getirilmesi ve eklemin sabitlenmesidir. Bu adım, sinir ve damar gibi hassas yapıları korumak açısından kritik öneme sahiptir. Ardından kolun immobilizasyonu ve dinlenmesi gelir. Tedavi süresi genellikle 2-4 hafta arasında değişir ve çıkığın tipi ile kişinin yaşı dikkate alınarak planlanır.
Fizik tedavi ve rehabilitasyon, dirsek çıkığı tedavisi en önemli parçalarından biridir. Kasların güçlendirilmesi ve eklem hareket açıklığının artırılması tedavi sürecinde önemlidir. Fonksiyonun geri kazanılması da tedavinin başarısı için gereklidir. Cerrahi müdahale ise genellikle kırık veya tekrarlayan çıkıklarda tercih edilir.
Önemli olan doğru tanı, uygun müdahale ve tedavi sürecine zamanında başlanmasıdır. Tedavi, eklem sağlığını korumak ve günlük yaşam aktivitelerini sorunsuz şekilde sürdürebilmek için hayati önem taşır.
Dirsek Çıkığı Tedavisi Hangi Durumlarda Kullanılır?
Dirsek çıkığı, dirsek ekleminde kemiklerin normal pozisyonundan kaymasıyla oluşur. Bu durum ciddi bir yaralanmadır. u durum genellikle düşme veya spor kazaları sonucu meydana gelir. Trafik kazaları da dirsek çıkığına yol açabilir. Tedavi edilmediğinde kalıcı eklem hasarına yol açabilir. Tedavi, eklem sağlığının korunması amacıyla uygulanır. Ayrıca fonksiyonun geri kazanılması ve komplikasyon riskinin azaltılması için de önemlidir.
Öncelikle eklemin doğru pozisyona getirilmesini ve sabitlenmesini kapsar. Bu tedavi yöntemi, sinir ve damar hasarını önlemek açısından hayati öneme sahiptir. Hafif çıkıklarda kapalı redüksiyon yöntemiyle tedavi uygulanabilir. Kırıklarla veya tekrarlayan çıkıklarla birlikte görülen vakalarda ise cerrahi müdahale gerekebilir. Tedavi, hastanın yaşına, genel sağlık durumuna ve çıkığın şiddetine göre planlanır.
Tedavi, özellikle aktif yaşam süren gençler ve sporcular için önemlidir. Bu kişiler, dirsek çıkığı tedavisi sayesinde eklem fonksiyonlarını hızlı bir şekilde geri kazanabilir. Ayrıca tekrar sakatlanma riskini azaltabilirler. Yaşlı bireylerde osteoporoz veya eklem zayıflığı gibi durumlar mevcutsa, tedavi uygulanır. Bu tedavi eklem sağlığını korumak ve yaşam kalitesini artırmak için önemlidir.
Fizik tedavi ve rehabilitasyon, tedavinin en kritik aşamasıdır. Kasların güçlendirilmesi ve eklem hareket açıklığının artırılması tedavi sürecinde önemlidir. Fonksiyonun geri kazanılması da başarılı bir tedavi için gereklidir. Düzenli doktor kontrolleri, tedavinin etkinliğini izlemek açısından önemlidir. Ayrıca olası komplikasyonları önlemek için de gereklidir.
Özellikle travma veya kırık riskinin olduğu durumlarda bu tedavi büyük önem taşır. Tedavi, eklem sağlığını korumak, günlük yaşam aktivitelerini sürdürmek ve yaşam kalitesini artırmak için büyük önem taşır.
Dirsek Çıkığı Tedavisi Yöntemleri Nelerdir ?
Dirsek çıkığı, dirsek ekleminde kemiklerin normal pozisyonundan kaymasıyla oluşur. Bu durum ciddi bir yaralanmadır. Genellikle düşme, spor kazaları veya trafik kazaları sonucu oluşur. Ani travmalar bu duruma yol açar. Bu tür çıkıklar, sinir ve damar hasarına yol açabileceği için acil müdahale gerektirir. Dirsek çıkığı tedavisi, eklemin doğru şekilde yerine getirilmesini sağlar. Ayrıca eklemin sabitlenmesi ve fonksiyonunun geri kazanılması amacıyla uygulanır.
Tedavide kullanılan yöntemler, çıkığın tipi ve şiddetine bağlı olarak değişir. Hafif çıkıklarda genellikle kapalı redüksiyon yöntemi tercih edilir. Bu yöntemde eklem, cerrah veya ortopedist tarafından manuel olarak yerine getirilir. Genellikle lokal veya genel anestezi altında uygulanır. Redüksiyon işlemi sonrası kol, alçı veya özel bir atel ile sabitlenir ve belirli bir süre immobilize edilir.
Daha karmaşık vakalarda cerrahi müdahale gerekebilir. Örneğin, kırıklarla birlikte görülen veya tekrarlayan çıkıklarda bu yöntem uygulanır. Cerrahi tedavi sırasında eklem yapısı onarılır, kırıklar tespit edilir ve eklem stabilitesi sağlanır. Cerrahi sonrası fizik tedavi ve rehabilitasyon süreci büyük önem taşır.
Fizik tedavi, kasların güçlendirilmesini sağlar. Ayrıca eklem hareket açıklığını artırmak ve günlük yaşam aktivitelerinin sorunsuz şekilde sürdürülmesini destekler. Bu süreç, tedavinin başarısını doğrudan etkiler . Ayrıca düzenli doktor kontrolleri, tedavinin etkinliğini izlemeye yardımcı olur. Olası komplikasyonları önlemek açısından da gereklidir.
Sonuç olarak, tedavide hem konservatif yöntemler hem de cerrahi müdahaleler kullanılır. Tedavi yöntemi, çıkığın tipi, şiddeti ve hastanın genel sağlık durumuna göre belirlenir. Amaç, eklem sağlığını korumaktır. Ayrıca fonksiyonu geri kazandırmak ve komplikasyon riskini minimuma indirmek de hedeflenir.
Dirsek Çıkığı Tedavisi Sonrası Süreç Nasıldır?
Tedavinin ardından iyileşme süreci, uygulanan tedavi yöntemine bağlı olarak değişir. Ayrıca çıkığın şiddeti ve hastanın genel sağlık durumu da iyileşme sürecini etkiler. Tedavi genellikle eklemin yerine getirilmesine odaklanır. Ayrıca eklemin sabitlenmesi ve fonksiyonunun geri kazandırılması hedeflenir. Manuel redüksiyon yöntemi ve cerrahi müdahale sonrası süreç doğru takip edilmezse sorunlar ortaya çıkabilir. Bunların başında eklem hareketlerinde kısıtlılık gelir.
İlk günlerde şişlik ve ağrı sık görülen belirtilerdir. Bu dönemde eklemin dinlendirilmesi, soğuk uygulama ve doktorun önerdiği ağrı kesici ilaçların kullanımı önemlidir. Dirsek genellikle atel veya sargı ile sabitlenir. Bu sayede eklem stabil tutulur ve dokuların iyileşmesi desteklenir. Sabitleme süresi çıkığın ciddiyetine göre değişir, genellikle 1–3 hafta arasında olur.
Atel çıkarıldıktan sonra fizik tedavi süreci başlar. Bu süreçte kas güçlendirme egzersizleri, eklem hareket açıklığını artırıcı uygulamalar ve günlük yaşam aktivitelerine geri dönüş amaçlanır. Düzenli egzersiz ve hareket, eklem esnekliğini korur ve fonksiyon kaybını önler.
Tedavi sonrası süreçte doktor kontrolleri büyük önem taşır. Düzenli kontroller sayesinde eklemdeki iyileşme değerlendirilir. Ayrıca olası komplikasyonlar önlenir ve eklemin doğru şekilde işlev gördüğünden emin olunur. Ayrıca hastalar, ağır yük kaldırmaktan ve ani hareketlerden kaçınarak eklemi korumalıdır.
Sonuç olarak, dirsek çıkığı tedavisi ardından süreç doğru sabitleme ile desteklenmelidir. Ayrıca düzenli fizik tedavi ve doktor kontrolleri de önem taşır. Bu adımlar, eklem sağlığının korunmasını sağlar. Ayrıca fonksiyonun geri kazanılmasını ve komplikasyon riskinin minimuma indirilmesini destekler.





